Wer träumt nicht vom strahlend weißem Hollywood-Lächeln?! Also ich schmachte immer neidisch auf die weißen Beißerchen der Stars und Sternchen und wünsche mir jedes Mal, dass ich auch mit so einem tollen Kiefer gesegnet wäre. Ansich bin ich nicht unglücklich mit meinen Zähnen – immerhin hatte ich jahrelang eine lose Zahnspange – und meine Zähne sind daher auch recht gerade. Nur farblich wünschte ich mir schon immer einen Tick weißere Zähne. Wie in meiner Zahnpflege-Routine gezeigt, verwende ich auch Zahncremes & Co, die weißere Zähne versprechen, in Realität tut sich da aber recht wenig. Als dann die Anfrage von der Zahnputzerei kam, ob ich nicht einen ihrer Service testen möchte, musste ich also nicht lange überlegen…
Die Zahnputzerei
Die Zahnputzerei, die von DDr. Christian Polak geführt wird, befindet sich in der der Wiener Privatklinik (Lazarettgasse 25 im 9 Bezirk) gleich beim AKH ums Eck. Freitags von 13:00 – 19:00 Uhr und samstags von 9:00 – 14:00 Uhr kann man vom überaus freundlichen und auch noch wahnsinnig hübschen Team folgende Behandlungen in Anspruch nehmen.
Professionelle Zahnreinigung
– Entfernung von oberflächlichem Zahnstein mittels feinem Ultraschall
– Reinigung der Zahnzwischenräume
– Entfernung von Verfärbungen mittels Pulverstrahlgerät
– Politur der Zähne
– Flouridierung der Zähne
30 Minuten – 59 Euro // 60 Minuten – 99 Euro
Zahnaufhellung
– Politur der Zahnoberfläche
– Ausgangsfarbe bestimmen
– Abdeckung des Zahnfleisches und der Mundschleimhaut
– Auftragung des Bleichmittels
– Einwirkung 4 x 10 Minuten und Beleuchtung mittels einer UV Lampe
– Reinigung der Mundhöle vom Bleichmittel
– Bestimmung der Zahnfarbe
199 Euro
Meine Behandlung in der Zahnputzerei
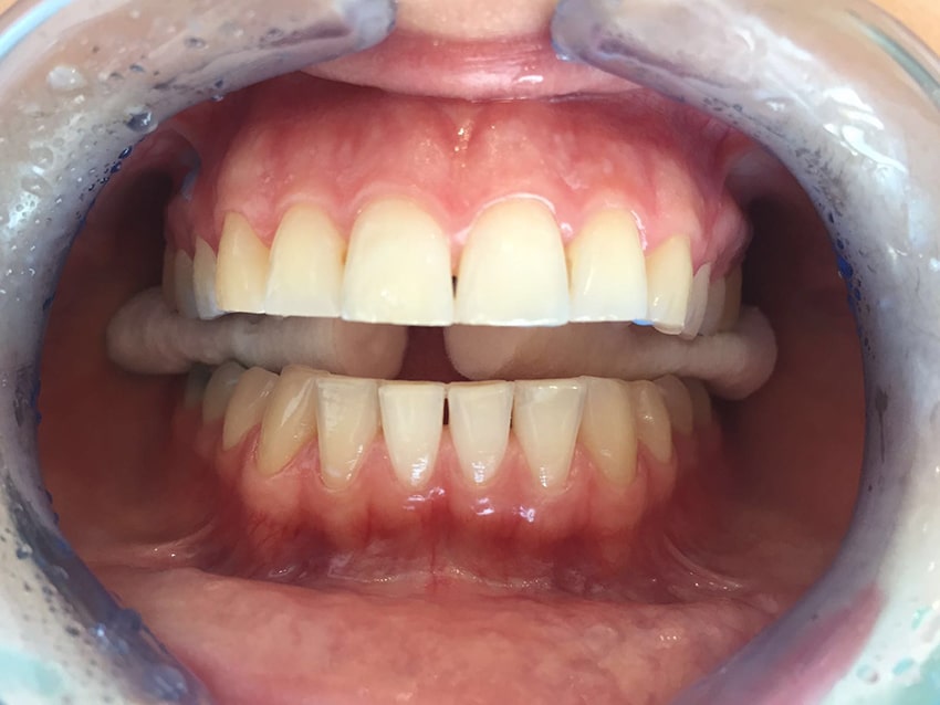
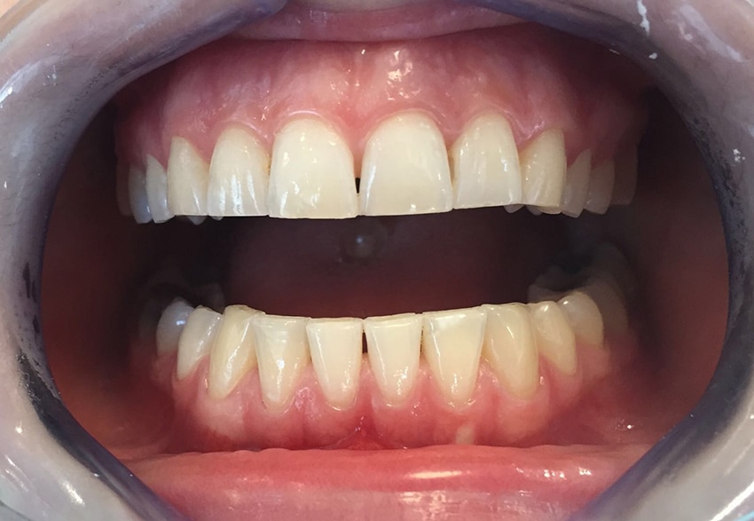
Nach einem kurzem freundlichen Vorgespräch, wo ich meine Bedenken äußerte (eine Bekannte hatte sich zu Hause die Zähne gebleicht, was leider nicht ganz so gut ausging) ging es auf den Behandlungsstuhl. Mit schönem Blick auf die sommerliche Terrasse, konnte ich mich also zurücklehnen und die hübschen Zahnarzthelferinnen hantieren lassen. Zuerst wurde mir eine Mundschiene angelegt, die Zahnoberfläche poliert und die Ausgangsfarbe meiner Zähne bestimmt, ehe das Zahnfleisch und die Mundschleimhaut abgedeckt wurden, um Verätzungen zu verhindern. Als nächsten Schritt wurde das Bleichungsgel aufgetragen und für 10 Minuten und mittels UV-Lampe beleuchtet. Dieser Vorgang wurde 4 Mal wiederholt, ehe der Mund gereinigt wurde und wir am Ende der Behandlung ankamen. Während er kompletten Behandlung hatte ich keinerlei Schmerzen, auch wenn ich es gegen Ende hin schon sehr, sehr mühsam fand die Mundschiene zu tragen. Ich verabschiedete mich dann mit glatten und weißen Zähnen vom freundlichen Team und merkte abends, dass ich am unteren Zahnfleisch plötzlich Schmerzen hatte. Ich dachte mir noch nichts dabei, ging früh ins Bett und wachte am nächsten Morgen mit ziemlich heftigen Schmerzen auf. Das untere Zahnfleisch war weiß verfärbt und brannte bei jedem Sprechen, Essen und Trinken. Da Wochenende war, wartete ich bis Montag und rief dann in der Zahnputzerei an, wo mir dann Solcoseryl (erhält man in der Apotheke) empfohlen wurde. Die „Verletzung“ kam laut Zahnputzerei nicht wegen des Bleichmittels, sondern aufgrund der Mundschiene, die scheinbar einen zu großen Druck ausgeübt hat. Insgesamt hielten die Schmerzen (besonders beim Essen von säurehaltigen Lebensmittel) mehr als eine Woche an, ehe sich alles wieder legte.
Und wie lange bleiben die Zähne weiß?
Je nach
Zahnbeschaffenheit und Lebensstil (Rotwein, Kaffee, Nikotin, etc.
fördern das Gelbwerden der Zähne) sollte alle ein bis zwei Jahren wieder
gebleicht werden. Allerdings sollte ein Bleaching nicht öfter als 2x
pro Jahr durchgeführt werden!
Meine Fazit zum Zähnebleichen
In meinem Freundeskreis wurde ich nun schon einige Male gefragt, ob ich noch mal Zähnebleichen würde und ob ich mit dem Ergebnis zufrieden sei. Ganz ehrlich: Ich weiß nicht so recht! Das Ergebnis finde ich ganz ok, wobei es meiner Meinung nach noch heller sein hätte könnte, da eigentlich niemandem von selbst aufgefallen ist, dass meine Zähne nun weißer sind. Die Tortur mit den Schmerzen danach schreckt mich natürlich auch ab. Laut DDr. Polak, der sich nach einigen Tagen sogar erkundigt hat, wie es mir geht, was ich wirklich wahnsinnig nett fand, ist mein Problem aber eher ein Einzelfall und tritt sehr, sehr selten auf. Aber wie man eben sieht, kann doch immer was passieren. 😉 Von der Freundlichkeit der Mitarbeiter und der Praxis kann ich euch die Zahnputzerei aber guten Gewissens an Herz legen, solltet ihr euch für ein professionelles Bleaching entscheiden. Und wer einen positiveren Bericht lesen möchte, der soll mal bei Vicky vorbeischauen, die hatte nämlich keinerlei Probleme mit der Zahnbehandlung.
Salzburg Apotheke Austria







9 Kommentare
Ich habe selber zwei Bleaching Sitzungen hinter mir (vor ca. 3 und 1,5 Jahren). Schlechte Erfahrungen habe ich keine gemacht, aber bei mir sah das Ergebnis ganz anders aus. Die Zähne wurde so weiß, dass Freunde meinten "Zeige deine Zähne nicht so oft. Das tut schon in den Augen weh" 🙂 🙂 Ich würde das immer wieder machen lassen, aber auch nur bei meinem Arzt 🙂
Liebste Grüße
Selma
Bei welchem Arzt hast du das durchführen lassen? 🙂
Der Preis ist nicht ohne aber das Ergebnis kann sich echt sehen lassen.
Interessanter Bericht! 🙂 Ich sehe auch kaum einen Unterschied, deine Zähne waren vorher ja auch schon schön hell 🙂
LG von http://schneegloeckchen21.blogspot.de/
Einen wirklichen Unterschied sehe ich ehrlich gesagt nicht, aber ich finde das deine Zähne auch vorher schon sehr hell waren. Ich hatte überlegt ob ich es später mal mache, gerade kann ich es mir nicht leisten, aber wenn ich dann nach der Uni arbeite, kann man sowas ja mal ausprobieren und einfach schauen, wie das Ergebnis bei einem ist und ob man danach Probleme hat. Ist auch wirklich ärgerlich, dass du dann solche Schmerzen hattest, aber das sich der Arzt da wirklich erkundigt hat, zeigt auf der anderen Seite auch wieder, dass die Patienten ihm wichtig sind, das hat man ja mittlerweile auch wirklich selten.
Ich sehe gar keinen großen Unterschied. das ist aber so weil Deine Zähne vorher schon sehr hell waren.Ich finde auch,das wäre gar nicht nötig gewesen,verstehe aber dass man das mal ausprobieren will.So ein Negativ Beispiel wie Naddel (die Ex vom Bohlen) will doch niemand sein,Mund auf-Licht an,man kanns auch übertreiben.Das sieht dann total unnatürlich aus. Deine Zähne sind super.
Danke für diesen ehrlichen Bericht! Ich überlege auch schon lange ob ich so etwas machen soll, aber ich trau' mich irgendwie nicht drüber… LG Martina von http://www.lifestylefabrik.at
Also ich bin begeistert. Kann man nur weiter empfehlen.man fühlt sich sehr gut aufgehoben. Dankeschön!
Ich entschuldige mich aufrichtig für diesen Kommentar! Aber ich teste einige Software zum Ruhm unseres Landes und ihr positives Ergebnis wird dazu beitragen, die Beziehungen Deutschlands im globalen Internet zu stärken. Ich möchte mich noch einmal aufrichtig entschuldigen und liebe Grüße 🙂